OPĆA DENTALNA MEDICINA S ENDODONCIJOM, PARODONTOLOGIJOM I PREVENTIVOM

Opća dentalna medicina podrazumijeva prvenstveno restorativnu dentalnu medicinu. Ta grana dentalne medicine se bavi liječenjem i popravljanjem zuba oštećenog karijesom. Zubni karijes najčešća je bolest zubi današnjice, pa je tako terapija ispunom (plombom) najčešći zahvat u ordinaciji dentalne medicine. Karijes je propadanje zubne cakline i dentina uslijed djelovanja bakterija. Obično se pojavljuje u područjima teško dostupnima čišćenju ili koja zanemarujemo. Više

Nakon uklanjanja karijesa, zdrave dijelove zuba punimo kako bi zub zadržao vitalitet i funkciju. Svaki zub je dragocjen te se trudimo provoditi minimalno invazivne postupke kada god je to moguće. Današnji materijali za ispune oponašaju boju zuba, ne zahtijevaju mnogo brušenja strukture zuba i dovoljno su čvrsti da zamijene dio oštećen karijesom.

Ispuni mogu varirati od klasičnih bijelih kompozitnih ispuna do modernih keramičkih ispuna (tzv. inlay i onlay ispuni) koji su trajnija, otpornija i estetski najprihvatljivija vrsta ispuna.

U našoj ordinaciji koristimo najbolje kompozite i adhezivne sustave (kojima se kompozit „lijepi“ za zub).


Endodoncija je grana dentalne medicine koja se bavi prevencijom, detaljnim dijagnosticiranjem i liječenjem patoloških procesa zubne pulpe. Više

Zubna pulpa sastoji se od spleta živčanih vlakana, krvnih žila i vezivnoga tkiva, koji su važni u razvoju i održavanju vitalnosti zuba. Nalazi se unutar endodontskoga prostora zuba, koji čine pulpna komora (unutar krune zuba) i korijenski kanali (unutar korijena zuba).

Najčešće su uzroci upalnih stanja zubne pulpe duboki karijes koji je razorio caklinu i dentin te zahvatio zubnu pulpu, tj. zubni živac, te fraktura zuba s ekponiranom zubnom pulpom. Glavni je znak upale je bol, koja se može javiti na podražaj, na hladno, toplo, slatko ili spontano. Bol može biti kratkotrajna ili kontinuirana, te pulsirajuća. Ako se upalni proces iz pulpe korijenskoga kanala proširio na okolnu periapikalnu kost, javlja se bol na zagriz, oteklina, a proces može biti i bez simptoma, samo s promjenom boje krune zuba i kroničnim procesom koji se često viđa kao slučajni nalaz na rendgenskoj snimci. Tada govorimo o kroničnom periapikalnom procesu ili granulomu.

Endodontski zahvat predstavlja liječenje korijenskih kanala zuba s ciljem očuvanja zuba u usnoj šupljini. Postupak podrazumijeva vađenje, odstranjivanje pulpe zuba iz kanala, čišćenje i ispiranje korijenskih kanala posebnim ručnim ili strojnim iglicama i tekućinama za ispiranje koje odstranjuju zaostale bakterije i upalne produkte i dezinficira kanale. Sam postupak je bezbolan jer ga radimo uz primjenu anestezije.


Parodontologija je grana stomatologije koja se bavi proučavanjem i liječenjem bolesti potpornih zubnih struktura. Zubno meso( gingiva) i alveolarna kost čine parodontni ligament koji drži korijen zuba u kosti. Više

Zdravlje parodonta preduvjet je zdravlja zubi te se podrazumijeva da svaka ozbiljnija terapija u ustima također obuhvaća i terapiju bilo kakve upale sluznice. Neadekvatna higijena kod pacijenta vremenom može dovesti do ozbiljnijih upala sluznice i parodonta, a neliječena tijekom godina može dovesti i do gubitka zuba. Stoga je prije svakog ozbiljnijeg protetskog zahvata parodontna terapija uz sanaciju bolesti sluznice jedna od važnih zadaća našega tima.

Dental Krišto

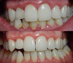
Nakupljanje tvrdih i mekih zubnih naslaga najčešći razlog nastanka paradentoze, bolesti zubnog parodonta. Naime, i plak i kamenac predstavljaju odlično stanište za bakterije koje potom svojim djelovanjem uništavaju parodontnu strukturu. Čišćenjem mekih i tvrdih zubnih naslaga, te poliranjem i pjeskarenjem zuba uklanjaju se nakupine bakterija koje uzrokuju upalu. Osim stomatološkog uklanjanja zubnih tvrdih i mekih naslaga, potrebno je kvalitetno educirati pacijenta o načinu održavanja oralne higijene. Profesionalno, stomatološko, čišćenje mekih i tvrdih zubnih naslaga, poliranje i pjeskarenje trebalo bi primijeniti svakih 6 mjeseci.


Pravilnom dentalnom higijenom spriječavamo gubitak zubi i pojavu karijesa i parodontoze.

Četkajte zube barem dva puta na dan po tri minute. Koristite dentalni konac ili interdentalnu četkicu.


Bakterije se vole zavući u interdentalne prostore. Kako bi spriječili njihovo nakupljanje preporučljivo je koristiti dentalni konac ili interdentalnu četkicu. U području dentalnog implantata se ne koristi interdentalni konac već interdentalne četkice.

Pronađite odgovarajuću četkicu

Dental Krišto

Preporuka je mijenjati četkicu svaka tri mjeseca. Dotrajale četkice mogu ukloniti i do 30% manje plaka i nečistoća.
Poželjno je da to budu mekane četkice.

Moderne električne četkice održavaju dentalnu higijenu znatno bolje od klasičnih četkica. Također djeci su jednostavnije za korištenje.
Zubne paste, gelovi i tekućine za ispiranje koje sadrže florid imaju važnu ulogu u sprečavanju razvoja karijesa.
Posjetite Vašeg doktora dentalne medicine dva puta godišnje kako bi redovito kontrolirali Vaše dentalno zdravlje.